Козлова
Ирина Петровна
ВРАЧ ТЕРАПЕВТ-СТОМАТОЛОГ ВЫСШЕЙ КВАЛИФИКАЦИОННОЙ КАТЕГОРИИ
Пациенты высоко ценят не только профессионализм своего доктора, но и ее редкий дар сопереживания.
Биография
Образование:
Выпускница Минского государственного медицинского института 1983 года
Стаж работы:
-
Более 30 летв лечебных учреждениях г. Минска
-
С 2011 годав Медицинском центре "Мелисса - Мед"
Текущая деятельность:
С первого дня существования центра проявила себя как замечательный доктор. Никогда не стоит в стороне, болеет за дело всей душой. Владеет всеми новейшими технологиями в терапевтической стоматологии такими как: реставрации зубов из лучших стоматологических материалов, лечение и перелечивание каналов зубов любой сложности, эстетические реставрации направленные на восстановление длинны зубов, а также технологиями отбеливания зубов.
Специализация:
-
реставрация зубов
-
лечение и перелечивание каналов зубов любой сложности
-
эстетические реставрации направленные на восстановление длинны зубов
Повышение квалификации
-
Эстетическая стоматология
-
Лечение неосложненного кариеса
-
Героическая эндодонтия
-
и другие
Примеры выполненных работ:
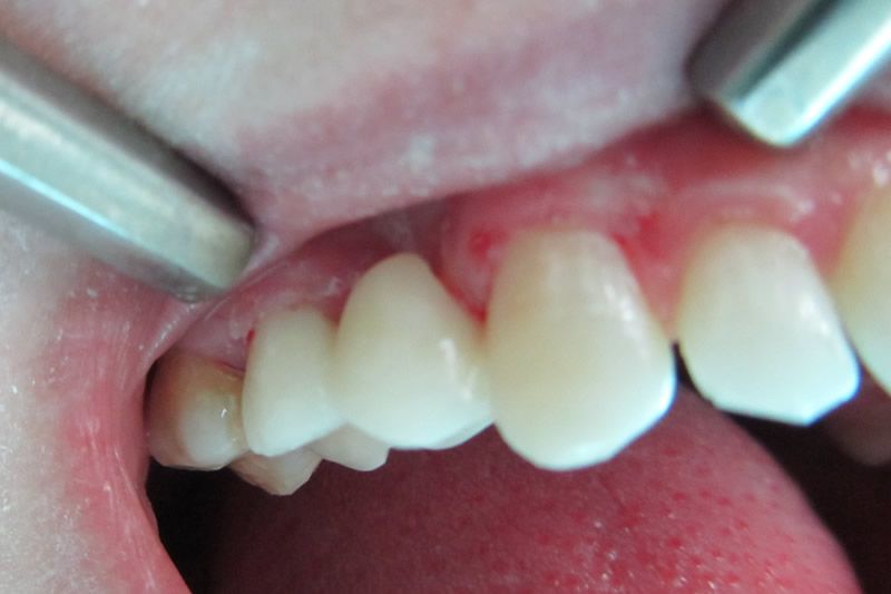
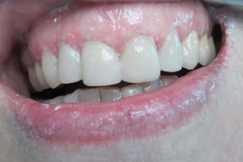
Реставрация зубов – этот метод реконструкции зубов основан на повторении природного устройства коронное зубов, т.е. послойное восстановление утраченных тканей зубов.
До
Реставрация зубов
После
Реставрация зубов
Трансформация зубов – изменение формы коронки зуба при диастемах и тремах.
До
Трансформация зубов
После
Трансформация зубов
Адгезивные протезы изготавливаются при отсутствии одного зуба, в одно посещение возможно восстановление эстетической и функциональной целостности зубного ряда.
До
Адгезивные протезы
До
Адгезивные протезы
После
Адгезивные протезы
Примеры выполненных работ:
Примеры работ
Примеры работ
Примеры работ
Примеры работ